Investigaciones del INCIPIT en Mallorca

Excavaciones, prospecciones LIDAR y arqueometalurgia

Durante el mes de noviembre de 2024, el equipo del Instituto de Ciencias del Patrimonio (INCIPIT – CSIC) llevó a cabo varias actividades de investigación en la isla de Mallorca. Las actuaciones realizadas han comprendido la realización de excavaciones arqueológicas en el hipogeo número 5 de la necrópolis de la Edad del Bronce de Son Sunyer en Palma, prospecciones arqueometalúrgicas en un conjunto de abrigos y cuevas en la Serra de Tramuntana y, finalmente, la realización de vuelos de dron con sistemas de registro LIDAR en ocho yacimientos arqueológicos.

Estas acciones forman parte de dos proyectos complementarios: “METINSULA. Arqueología prehistórica y metalurgia de las sociedades insulares del Mediterráneo Occidental” y “METMA. El coure metàl·lic a la Prehistòria de Mallorca. Mineria, tecnologia de producció i procedència a través d'un projecte arqueològic interdisciplinari” financiados por la ayuda Ramón y Cajal de la Agencia Estatal de Investigación (RYC2022-036509-I), el Consejo Superior de Investigaciones Científicas y el Ministerio de Ciencia, Innovación y Universidades y la subvención adicional del Consell Insular de Mallorca en el segundo de ellos. Estas actuaciones ahora iniciadas tendrán continuidad en los próximos años, abriendo así una nueva línea de trabajo en Mallorca, la más grande de las islas baleares, pretendiendo ahondar en el conocimiento las propias sociedades insulares o de la tecnología metalúrgica y su relevancia social durante la Prehistoria.

Fruto de estas intervenciones, desde el servicio de Medios Audiovisuales del INCIPIT-CSIC, de la mano de Rubén Vuelta-Santín, se han elaborado un conjunto videos divulgativos a los que se puede acceder mediante los enlaces que acompañan esta noticia.

Prospecciones Tramuntana

Son Sunyer

Prospecciones LiDAR

Excavaciones en la necrópolis de Son Sunyer (Sant Jordi, Palma de Mallorca)

El yacimiento arqueológico de Son Sunyer alberga un conjunto de ocho cuevas artificiales utilizadas como enterramientos, datadas entre el Bronce Medio y Final. Estas tumbas presentan una notable diversidad arquitectónica, con plantas que varían desde formas circulares simples hasta estructuras alargadas con corredores, bancos corridos, antecámaras y nichos, tanto laterales como en el ábside.



A lo largo de los siglos, los hipogeos de Son Sunyer, al igual que otros en la isla, han sufrido expolios constantes. Desde el siglo XVI, la roca en la que fueron excavados se utilizó como cantera para extraer bloques de marés, lo que provocó la sección y alteración de parte de las estructuras subterráneas. En el siglo XX, el yacimiento fue objeto de diversas noticias e intervenciones arqueológicas, culminando en la excavación de los depósitos arqueológicos remanentes en 1961.



En 2016, se realizó una limpieza de la vegetación y los escombros que cubrían las estructuras, gracias a una subvención del Consell de Mallorca para la adecuación de yacimientos arqueológicos. La última intervención, llevada a cabo en 2023, deparó un hallazgo inesperado, un nicho funerario hasta entonces inadvertido. Durante el sondeo realizado en noviembre de 2024 la excavación de este espacio reveló que no se trataba de un nicho lateral asociado al hipogeo SSU5, sino de un recorte de la cantera utilizada en época moderna.



Sin embargo, la campaña arqueológica reservaba una nueva sorpresa muy especial. Poco antes de finalizar los trabajos, en una de las esquinas del sondeo, se identificó con claridad un nicho que no pertenecía al hipogeo SSU5, sino que parece formar parte de un nuevo hipogeo hasta ahora desconocido, nombrado como SSU 9. Este descubrimiento abre nuevas perspectivas de investigación al tratarse y se espera poder continuar trabajando en este hallazgo en futuras campañas.



El próximo paso consistirá en realizar prospecciones con georradar en la zona, con el objetivo de obtener una imagen más precisa de lo que aún oculta la necrópolis de Son Sunyer. Este avance permitirá planificar futuras intervenciones y profundizar en el conocimiento de este importante yacimiento arqueológico.

La dirección de la intervención estuvo a cargo de Pau Sureda y Jordi Hernández, quienes lideraron un equipo dedicado a desvelar los secretos de este emblemático sitio.

Prospecciones arqueometalúrgicas en la Serra de Tramuntana (Escorca y Pollença)

El segundo ámbito de las intervenciones del INCIPIT en Mallorca consistió en la realización prospecciones arqueometalúrgicas en la Serra de Tramuntana, como parte de los trabajos del proyecto MetMa. Se trata de un proyecto nuevo, de tres años de duración, que tiene como objetivo la caracterización de la primera metalurgia en la isla de Mallorca. El proyecto arranca a partir de un conjunto de restos de producción metalúrgicos descubiertos a principios del siglo XXI en las zonas más inaccesibles de la Serra de Tramuntana, que podrían corresponderse con las evidencias más antiguas de metalurgia en Mallorca y ser las únicas que evidencien un aprovechamiento de los recursos locales de cobre durante la Prehistoria.



En su primera fase, el proyecto se centró en la localización y evaluación de algunas de las cuevas donde se encontraron estos restos, en colaboración con investigadores del IMEDEA-CSIC (Institut Mediterrani d’Estudis Avançats), responsables de las primeras prospecciones y que colaboran en el proyecto actual. El objetivo de esta fase fue evaluar el potencial de los diferentes sitios de cara a una potencial excavación durante el 2025. Con ello se pretende proporcionar a los residuos metalúrgicos un contexto estratigráfico e histórico sólido. Un aspecto controvertido del que se carece de momento.

Paralelamente, se realizó un inventario detallado de todos los materiales arqueológicos recuperados durante las prospecciones anteriores, así como un muestreo sistemático para su posterior análisis arqueometalúrgico. Estos trabajos sentarán las bases para comprender mejor el desarrollo y la explotación de los recursos metálicos en la Prehistoria de Mallorca.



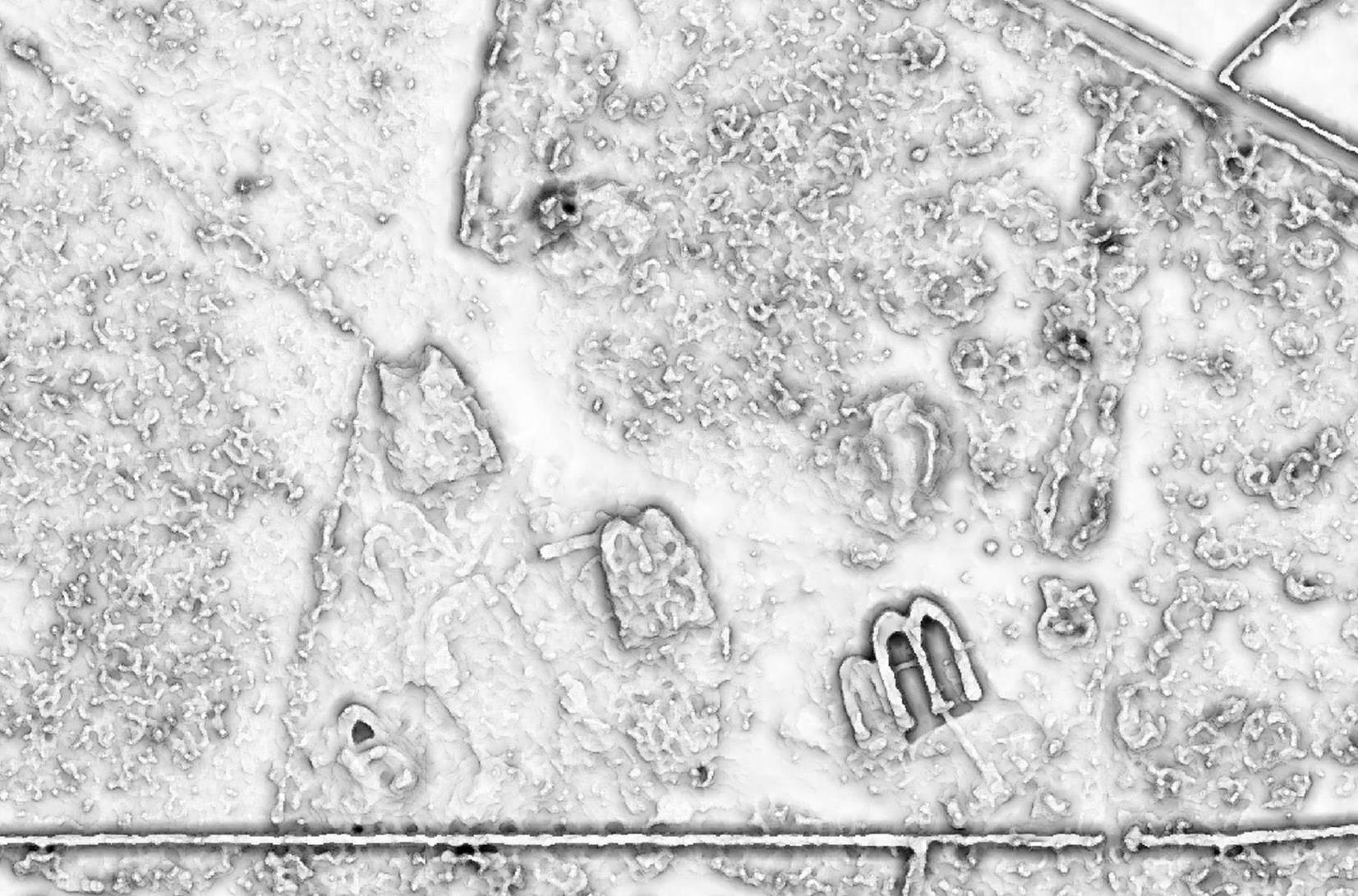
Potencial del sistema de registro LIDAR en el registro e identificación de yacimientos arqueológicos (DL-Lab)

Una tercera línea de trabajo consistió en el escaneo por LIDAR de un conjunto de 8 yacimientos prehistóricos distribuidos en distintos puntos de la isla. Para esta parte del trabajo contamos con Marta Crespo-Fernández del Laboratorio de Paisajes Digitales (DL-Lab) del INCIPIT y el dron DJI Matrice 350 RTK equipado con sensor LIDAR. Para realizar estas intervenciones se ha contado con la ayuda y colaboración del Ayuntamiento de Santa Margalida, La Ruta Arqueológica Sencelles-Costitx y el Museu Arqueològic de Son Fornés.



Los objetivos de este trabajo respondieron a la necesidad de evaluar el potencial de esta tecnología en diferentes ámbitos del estudio y protección del Patrimonio. En primer lugar, se hicieron vuelos LIDAR en un conjunto de 5 yacimientos del municipio de Santa Margalida con el fin de identificar y delimitar yacimientos arqueológicos cuya localización y extensión era incierta por estar catalogados a mediados del s. XX, teniendo además el acceso restringido por estar en propiedades privadas.

En segundo lugar, se aplicó la tecnología LIDAR para monitorizar posibles afectaciones en sectores de yacimientos arqueológicos bien documentados pero ubicados en zonas de alta presión agrícola y turística. Al estar situados en terrenos privados dedicados a la agricultura, estos yacimientos corren el riesgo de sufrir daños estructurales que no son detectables mediante imágenes satelitales o fotografía aérea convencional. El escaneo LIDAR permitió obtener una visión detallada del estado de conservación de estas áreas, facilitando la identificación de alteraciones no perceptibles a simple vista.



Por último, se exploró el uso del LIDAR como alternativa a los croquis de campo en yacimientos cubiertos por densa vegetación y que carecían de planimetrías previas. Esta tecnología demostró ser una herramienta eficaz para documentar y analizar áreas arqueológicas en entornos de difícil acceso, ofreciendo una representación suficiente del terreno y las estructuras ocultas bajo la cobertura arbórea. No obstante, en algunas ocasiones, la densidad de la vegetación baja, especialmente de la leñosa, dificultan la discriminación entre estructuras y vegetación.



En conjunto, esta fase del proyecto ha permitido avanzar en la aplicación de tecnologías innovadoras para la documentación, protección y estudio del patrimonio arqueológico de Mallorca.